
綺麗な見た目の歯にするための
白い詰め物・被せ物
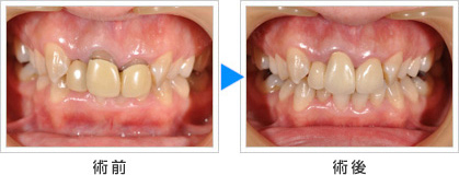
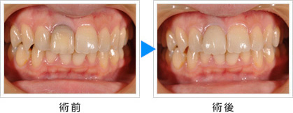
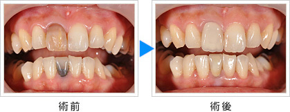
色や形が周りと調和した、天然歯の様な歯に仕上げるために、保険診療で使用する金属の詰め物や被せ物の代わりに、セラミック(陶器)などの素材を用いて歯を修復します。噛み合わせや被せ物の形を調整することにより、より良い審美治療をご提案します。

歯の治療により、機能的な面は回復できても、見た目(審美性)でご納得いただけない場合、それは心身共に健康になったとは言えません。
美しい歯に仕上げることで患者様の笑顔をもっと引き出し、心の面でも充実した生活を送れるようサポートしたいと考えています。

色や形が周りと調和した、天然歯の様な歯に仕上げるために、保険診療で使用する金属の詰め物や被せ物の代わりに、セラミック(陶器)などの素材を用いて歯を修復します。噛み合わせや被せ物の形を調整することにより、より良い審美治療をご提案します。
歯科治療で使われる素材の中で、最も生体親和性に優れた素材がセラミックです。
昨今の技術・材料の革新により、セラミックの強度や色調調整、接着性も向上し、より自然な仕上がりを実現できるようになりました。

虫歯などで歯を削ったあと、型をとり、欠損箇所につめる詰め物のことを「インレー」と言います。

虫歯などで歯が大きく欠損した際に、全体をスッポリ覆いかぶせる人工歯(被せ物)のことを「クラウン」と言います。

歯が抜けた箇所を、両隣の健康な歯を支えにして欠損部分を補うものです。

全てがセラミックで作られており、茶渋やヤニなどの着色汚れ(ステイン)も付着しづらく、長くきれいな歯を維持することができます。被せ物(クラウン)と詰め物(インレー)があり、メタルフリー(金属を一切使わない)であるため、金属アレルギーがある方も、安心して使用することができます。
| オールセラミッククラウン (ジルコニアフレーム) |
123,300円(税込)3年保証付
美しさが特徴で、歯が本来持っている、自然な透明感を再現するため、ほぼ天然歯そのものです。インストラクター技工士が製作します。 |
|---|---|
| オールセラミッククラウン (e.max) |
115,500円(税込)3年保証付
ジルコニアフレームより透明感が高く、さらに審美性に優れますが、強度が劣ります。 |
| セラミックインレー | 52,800円(税込)2年保証付
セラミックのみで作製した詰め物です。ハイブリッドインレーより見た目に優れます。 |
| ジルコニアクラウン | 74,800円(税込)2年保証付
ジルコニアのみで作製した、見た目より強度を重視したオールセラミッククラウンです。色の種類が少なく、やや透明度が低いので、基本的に奥歯用です。従来のジルコニアクラウンより透明度が向上した、ハイトランスジルコニアを使用しています。 |
| ジルコニアインレー | 59,400円(税込)2年保証付
ジルコニアのみで作製した、奥歯用の白い詰めものです。セラミックより透明感が低くなりますが、強度に優れます。 |

ハイブリッドセラミックは、セラミックと樹脂系の素材のレジンを混合させた材料です。セラミックとレジンの両方の特性を持っており、純粋なセラミックと比較して、やや変色をすること、見た目の綺麗さに劣ること、汚れがつきやすいことがデメリットですが、オールセラミックと比べて費用は抑えることができます。欠けやすい性質のため、被せ物より詰め物に使用することが多いです。
| ハイブリッドセラミッククラウン | 41,800円(税込)1年保証付
ハイブリッドセラミックのみで作製した被せものです。強い力で壊れやすいので、大臼歯への使用はおすすめしません。 |
|---|---|
| ハイブリッドセラミックインレー | 29,700円(税込)1年保証付
ハイブリッドセラミックのみで作製した、白い詰めものです。強度が低いので、力が強くかかる部位には向きません。 |

薄い金属の上にセラミックを焼き付けたもので、奥歯やブリッジなどの強度が必要なケースに主に使用されます。
見た目は、オールセラミッククラウンには劣りますが、ハイブリッドセラミッククラウンやジルコニアクラウンよりは優れており、変色しません。
| メタルセラミッククラウン | 79,200円(税込)2年保証付
当院では、金属の部分に耐食性の強い安全な合金を使用します。 |
|---|

つけ爪のような薄片(セラミック)を、薄く削った歯の表面に貼り付けることで、歯を白く美しくします。
歯の神経が死んで黒ずんだ時など、ホワイトニングでは対処できないような重度の歯の変色を白くする目的で行われます。基本的に上の前歯専用で使用します。
| ラミネートベニア (セラミック) |
79,200円(税込)2年保証付
当院では、変色しないように純粋なセラミックで作成します。 |
|---|
| 見た目(審美性) | オールセラミック>メタルセラミック>ジルコニア≧ハイブリッド |
|---|---|
| 壊れにくさ(強度) | ジルコニア>オールセラミック=メタルセラミック>>ハイブリッド |
| 虫歯や歯周病へのなりにくさ(汚れの付きにくさ) | オールセラミック=ジルコニア>メタルセラミック>>ハイブリッド |
白く美しい歯は見た目の第一印象も変えるだけでなく、歯並びや歯の色にコンプレックスのある方の心も元気にします。 噛み合わせや歯並びの調整をすることも可能です。美しい口元で、自信のある生活をおくれるよう、私たちがお手伝いさせていただきます。






加齢、遺伝、生活習慣などが原因で起こった歯の変色を、削ることなく薬剤を使って色素を分解する方法で白くします。

歯科医院で行うホワイトニングで、早く白い歯を手に入れたい方に向いています。
ホームホワイトニングに比べ、持続性には劣りますが、結婚式などで白い歯を早く実現したい方にオススメです。

患者様ご自身で行なっていただくホワイトニングです。マウスピースと薬剤を私、徐々に歯を白くします。
持続性が高く、続けることで長く白い歯をキープすることができます。

オフィス+ホームを兼ね備えたホワイトニングです。
より白さを追求したい方にオススメです。

歯茎のくすみや黒ずみを除去し、健康的な歯茎の色を目指します。
| 診療時間 | 月 | 火 | 水 | 木 | 金 | 土 | 日 |
|---|---|---|---|---|---|---|---|
| 10:00~13:00 | ● | ● | ● | ● | ● | ● | ● |
| 15:00~20:00 | ● | ● | ● | ● | ● | ● | ● |